マウスピース矯正治療

マウスピース(クリアアライナー)矯正治療とは

以前までは、矯正治療といえば、針金が歯を覆いそれが長い年月お口の中に入るもの、という印象がありました。

しかし、近年では針金を使わず、透明なマウスピース(クリアアライナー)を患者さん自身が付け外しして、矯正をする方法が開発され、効果を上げています。

すでに米国では、この マウスピース(クリアアライナー)矯正治療が、広く一般的に行われています。

マウスピース(クリアアライナー)の特徴

マウスピース(クリアアライナー)矯正治療は、 まず患者さんの歯型を採り、その歯型の上で歯を動かして、それをもとに透明なマウスピース(クリアアライナー)を作ります。

そして患者さんは、出来るだけ長い間その透明なマウスピース(クリアアライナー)をお口の中に入れて噛むことで、歯型と同じように歯が動いていくというものです。

最初から、歯型の上で理想的な歯並びのマウスピースを作っても、実際のお口には、上手くはまりませんので、1~2mm単位で歯型の歯を動かし、3~4週間に1度マウスピースを交換していきます。

最終的に矯正が終わるのは、通常の針金の矯正装置を使った場合より多少長くなりますが、その間針金がお口の中に入ることは、殆どありませんので、針金による不快感や見た目の悪さなども回避できます。

まとめると、以下の点が従来の矯正治療と比べて優れています。

マウスピース(クリアアライナー)のメリット
  • 治療手順がシンプル装置が見えない
    マウスピース(クリアアライナー)矯正治療は、透明なマウスピースを使っていますので、日常生活で入れていても、少し離れたところから見ると、何も入れていないように見えます。。
  • 治療手順がシンプル
    来院時に新しいマウスピースをお渡しするだけですので、時間の掛かるお口の中の針金などの調整がありません。
  • 患者さん自身が装置を着脱出来る
    ~この矯正治療は、マウスピースを出し入れする方法ですので、大切な行事などの際や食事のときなどは、患者さん自身でマウスピースを外すことが出来ます。
  • 治療が快適
    マウスピース(クリアアライナー)矯正治療は 、針金が歯の裏側に付く、舌側矯正と違って針金がありませんので、装着していても舌や頬の違和感がありません。また食事のときは外せますので、食べ物が装置に付くことも無く、快適です。

マウスピース(クリアアライナー)矯正治療の治療例

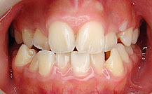
治療前

矯正をご希望でいらした方です。

お仕事柄、矯正の針金が見えるのは困るとのことでした。

診査の結果、マウスピース(クリアアライナー)矯正治療の適応症でしたので、 マウスピース矯正治療をすることにしました。

治療後

マウスピース矯正治療後の状態です。

患者さんが良くマウスピースをつけてくださったので、歯がわりあいスムーズに動きました。

天野健三 院長へのご相談はこちらから

歯周病、歯槽膿漏のご相談、顎関節症のお悩みや、歯科矯正についてのご質問等々……歯とお口の中に関するご相談があれば、何でも天野院長がお受けいたします。どうぞお気軽にメールをお送りください。